【健康科普】血尿无痛更危险?泌尿外科专家提醒及时排查
近日,化州市人民医院泌尿外科成功救治了一名因血尿就诊的77岁男性患者。该患者在入院3天前突然出现淡红色血尿,且血尿出现在排尿的全程,伴有血凝块。尽管患者没有其他如腰痛、腹痛、发热、尿频、尿急、尿痛等不适症状,但这一异常现象引起了医生的高度重视。
血尿背后的“隐形杀手”:肾癌
血尿是泌尿系统疾病的常见症状之一,可由多种原因引起,如尿路感染、结石、肾炎等。然而,无痛性肉眼血尿尤其需要警惕,因为它可能是泌尿系统恶性肿瘤的信号。肾癌在早期往往没有明显症状,容易被忽视,等到出现明显不适时,病情可能已经进展到中晚期。
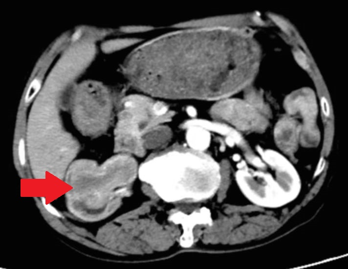
经过详细的增强CT检查,医生发现该患者的右肾下极、肾盂及右输尿管上段出现了占位性病变,初步考虑为恶性肿瘤,肿瘤最大层面达到5公分。这一发现让患者和家属倍感焦虑,但在泌尿外科团队的精心医治下,患者最终得到了有效的治疗。

精准治疗:
手术切除肿瘤

在化州市人民医院泌尿外科医护团队的精心照料下,患者恢复顺利,第二天便下床活动,很快就康复出院。患者和家属对治疗效果非常满意,并对医护人员的专业技术和贴心服务表示了由衷的感谢。
肾癌的早期症状不明显,但通过定期体检和关注身体异常信号,可以尽早发现疾病。以下是一些肾癌的常见症状,大家应提高警惕:
1. 无痛性血尿:这是肾癌最常见的早期症状,血尿可能呈淡红色或鲜红色,且不伴有疼痛。
2. 腰部疼痛:部分患者可能会感到腰部隐痛或钝痛,尤其是在肿瘤较大时。
3. 腹部肿块:少数患者可以在腹部摸到肿块,尤其是在肿瘤较大时。
4. 全身症状:如体重下降、乏力、发热等,这些症状在晚期肾癌患者中较为常见。
虽然肾癌的确切病因尚不明确,但以下措施可以帮助降低患病风险:
1. 戒烟:吸烟是肾癌的重要危险因素之一,戒烟可以有效降低患病风险。
2. 控制体重:肥胖与肾癌的发生有一定关联,保持健康的体重有助于预防疾病。
3. 健康饮食:多摄入新鲜蔬菜和水果,减少高脂肪、高盐食物的摄入。
4. 定期体检:尤其是有家族史或高危因素的人群,应定期进行泌尿系统的检查。
通过这次案例,我们再次提醒广大市民:无痛性血尿不容忽视,早期发现、早期治疗是战胜肾癌的关键。如果您或您的家人出现类似症状,请及时就医,早诊早治,守护健康!
【本期作者】
陈李豪
医师,毕业于广东医科大学,医学研究生,硕士学位,广东省保健协会小儿泌尿生殖分会委员,熟练掌握泌尿外科常见病多发病的诊治,擅长泌尿系结石、前列腺疾病、泌尿系肿瘤的诊断与治疗。
【指导专家】
